【第一百四十期】基层检验网形态学培训
每周一次,每次几张,只要您坚持来,抽出几分钟的时间,相信您的识图能力会不知不觉的提升哦
1、箭头所示为(阴道分泌物,革兰染色,10×100):
图一:革兰染色,10×100
图二:瑞氏-吉姆萨染色,10×100
答案:阴道毛滴虫
解析:阴道毛滴虫多呈倒置梨形、椭圆形或圆形,为白细胞 2 倍大小,为(7~32)μm×(5~15)μm,虫体顶端有 4 根鞭毛,后端有 1 根鞭毛,后鞭毛向后伸展与虫体波动膜外缘相连,波动膜位于虫体前1/2 处,为虫体作旋转式运动的器官。胞核位于前端 1/3 处,为椭圆形泡状核,轴柱纤细透明,纵贯虫体,自后端伸出。革兰染色(图一)呈梨形或不规则形,胞质呈红色泡沫状,可见红色颗粒,核小,椭圆形,位于虫体前端。瑞-吉染色(图二)滴虫胞体呈灰紫色,可见深紫色颗粒,体前有一个染紫红色梭形胞核;可观察到鞭毛。
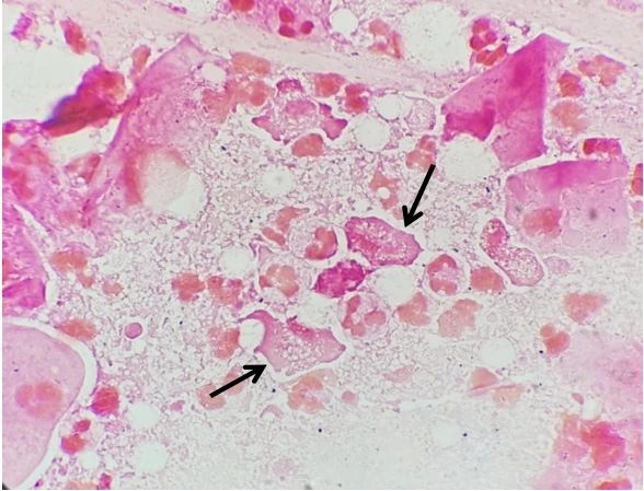
2、箭头所示细胞为(阴道分泌物,革兰染色 10×100):

答案:线索细胞
解析:典型线索细胞为上皮细胞表面附着大量阴道加德纳菌(GV),有些也可混杂少量其他厌氧或兼性厌氧菌,使上皮细胞结构不清、边缘不整、表面粗糙呈颗粒状。GV 为短小球杆菌,革兰染色阳性或阴性不定,曙红-天青染色呈紫蓝色。
3、箭头所示为(大便,未染色,×400)
图一:粪便直接涂片法,×400
图二:饱和盐水集卵法,×400

答案:钩虫卵
解析:钩虫卵呈椭圆形,壳薄而透明;卵内可见 4~8 个细胞;卵壳与细胞间有明显的空隙。若粪便放置过久,则可看到多细胞期或桑葚期等不同发育阶段的虫卵及仔虫期。虫卵随粪便排出体外,在适宜条件下发育为感染期幼虫——丝状蚴。粪便直接涂片法(图一)是常用检查方法,饱和盐水集卵法(图二)可显著提高检出率。
4、箭头所示为(新鲜大便,未染色,×400):
答案:粪类圆线虫杆状蚴
解析:粪类圆线虫杆状蚴:虫体(250~300)μm×60μm 大小;口腔短,壁薄;食管有 2 个膨大部;生殖原基显著;后端钝尖。雌虫在十二指肠固有层中产卵,卵很快孵化成杆状蚴,并自粘膜逸出进入肠腔,随粪便排出体外。在粪便标本中可查到杆状蚴,稀粪中尚可查到虫卵。
5、箭头所示为(尿液,未染色,×400):
答案:尿酸结晶
解析:尿酸结晶形态多样,大小各异;呈深浅不同的黄色;形态有花瓣形、腰鼓形、哑铃形、四边形、六边形、口形、立方体形。低倍镜下可见成堆聚集。常见于酸性尿中,见于急性痛风、儿童急性发热、慢性间质性肾炎等患者。
感谢:重医大附一院检验科和重庆大学附属中心医院提供的内容。