【第一百四十四期】基层检验网形态学培训
每周一次,每次几张,只要您坚持来,抽出几分钟的时间,相信您的识图能力会不知不觉的提升哦
患者,男,65 岁。因“反复头昏、乏力 1+月,加重伴腹泻 3 天”入院。实验室检查:HGB 68g/L ↓,HCT 20.2 % ↓,MCV 145.9 fl ↑,MCH 48.9 pg ↑,WBC 31.2 ×x10^9/L ↑↑,NEU 76.9 % ↑,PLT 20 ×x10^9/L ↓↓。Ret% 15.1 % ↑,γ-GT168 U/L ↑,T-BIL 43.7umol/L ↑,BU 31.3umol/L ↑,δ-BIL 12.4 umol/L ↑,LDH 394 U/L ↑。
1、请写出下图中箭头所指细胞名称(外周血,10*100 倍) :
答案:嗜碱性点彩红细胞
解析:在瑞氏染色后,红细胞胞浆中出现蓝色点状物质,其本质为 RNA。正常人外周血中小于 1/10000,明显增多时主要见于重金属损伤细胞膜导致的重金属重度,如铅、汞等;但在溶血性贫血、MA、血红蛋白病、地中海贫血、MDS 等骨髓造血功能旺盛时,嗜碱性点彩红细胞也会增加。
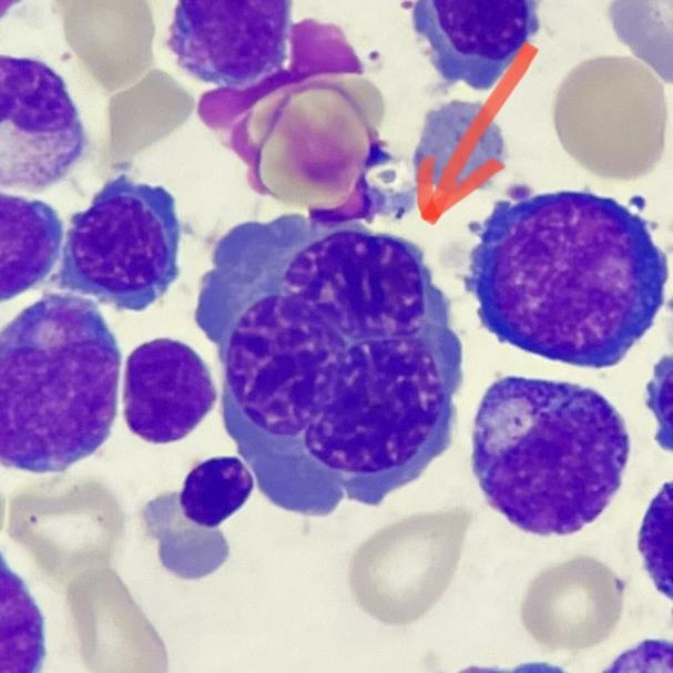
2、请写出下图中箭头所指细胞名称(骨髓,10*100 倍):

答案:异常中幼红细胞/三核巨中幼红细胞
解析:胞核畸形的异常改变,属于核异质形态,主要见于红系肿瘤、MDS、AML、PMF、重症感染等。
3、请写出下图中箭头所指细胞名称(骨髓,10*100 倍):
答案:中性粒细胞假性 P-H 畸形
解析:P-H 异常为显性遗传的 P-H 病患者中性粒细胞的少分叶或不分叶异常现象,俗称少分叶粒细胞和中性粒细胞分叶不能。特点为中性粒细胞已成熟,胞核分叶仍少或不分叶,常为两叶、肿胀如眼镜状、哑铃形和夹鼻眼镜状,单个核者呈花生形、棒状。在正常人中偶见此类形态,MDS、AML 和MDS-MPN 中常见类似异常,习惯上称之假性 P-H异常或获得性 P-H 异常。假性 P-H 异常被列为粒细胞病态的常见类型。
4、请写出下图中箭头所指细胞名称(骨髓,10*100 倍):
答案:颗粒型巨核细胞/单圆核巨核细胞/病态巨核细胞
解析: 胞体大小正常,胞核圆形、位于胞体一侧,似脱出状态。病态巨核细胞(dysmegakaryocytes)简称病巨,判断巨核细胞的病态性,以胞核的改变(如大小和多少)更为合适。胞核越小、越圆、越分散或逸出状的巨核细胞不管其胞体大小,其病态特征越是显著,诊断意义也越明确和重要。
5、请根据以上信息,推断患者可能的疾病是什么?
答案:骨髓增生异常综合征(MDS)
解析:骨髓增生异常综合征是一组克隆性造血干细胞疾病,其特征为一种或多种血细胞减少伴病态造血和凋亡增强,从而导致患者血细胞减少。其中MDS 的病态造血主要指红系、粒系、巨核系有核细胞的异常造血,一系或多系病态造血的血细胞≥10%。该患者各系均可见病态造血,原始细胞占 15%,未治疗,1 月后复查血常规,可见大量原始幼稚细胞(约 30%),疑似已转白(未做骨穿)。
感谢:重医大附一院检验科和秀山质控中心提供的内容。